Opportunistic Use of Computed Tomography to Determine Muscle–Adipose Ratio Reliably Predicts Wound Complications After Kocher-Langenbeck Surgical Exposure of the Acetabulum

OBJECTIVES: 

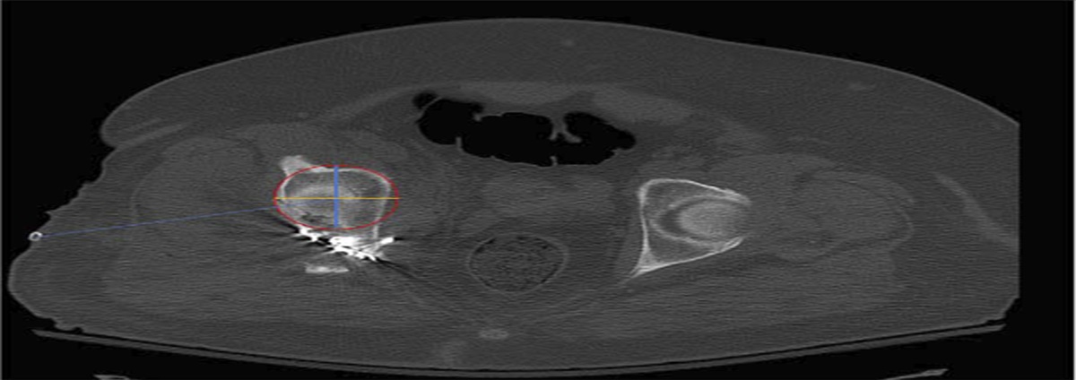
To determine whether muscle-to-adipose ratio (MAR) along the course of a Kocher-Langenbeck incision is more accurate at predicting postoperative wound complications after acetabular fixation than waist-to-hip ratio or body mass index (BMI).

METHODS:  Design: 

Retrospective case series.

Setting: 

Level 1 Trauma Center.

Patient Selection Criteria: 

Patients who sustained an acetabular fracture and had fixation through a Kocher-Langenbeck approach from January 1st, 2008 to December 31st, 2018. For inclusion, patients had to have a pre-operative and a post-operative CT of the pelvis and a minimum follow up of 12 months. Patients were excluded if an antibiotic other than cefazolin was administered for prophylaxis, if they had a femur fracture treated with an antegrade intramedullary nail, if there was any associated pelvic ring injury requiring surgical treatment of any type, if there were any abdominal or pelvic procedures completed by another surgical service, if the patient underwent pelvic embolization of a vessel, if there was presence of a genitourinary injury or Morel-Lavallée lesion, or if there was a subsequent surgical procedure unrelated to the primary endpoint (e.g., revision fixation).

Outcome Measures and Comparisons: 

Presence of a surgical site infection or a wound healing complication. BMI, WHR and MAR were evaluated and compared for their ability to predict a surgical site infection or a wound healing complication.

RESULTS: 

One-hundred ninety-three patients were included in this study, and the mean follow-up was 17.4 months. Thirty patients (15.5%) developed a wound complication. Seventeen patients (8.8%) developed a superficial infection and 13 (6.7%) developed a deep infection. The mean BMI for those who developed a wound complication was 35.9. The mean MAR was 0.67 for patients who developed a wound complication versus 0.75 for those who did not. Receiver operator characteristic analysis showed an area under curve for BMI to be 0.717 (95% confidence interval [CI] 0.577–0.857, P = 0.006) and for MAR to be 0.680 (inverted, 95% CI, 0.507–0.854, P = 0.022). The area under curve for waist-to-hip ratio was not statistically significant.

CONCLUSIONS: 

MAR is a significant predictor of postoperative wound complication in patients undergoing treatment of posterior wall acetabular fractures. The higher rate of wound complications in patients with a low MAR should be considered in the treatment of these patients and may be used to guide discussion regarding the risks of surgery and the potential use of adjuncts to reduce wound healing complications.

LEVEL OF EVIDENCE: 

Prognostic Level III. See Instructions for Authors for a complete description of levels of evidence.

Comments (0)

No login
gif