Categorisation of serous effusions using the International System for Reporting Serous Fluid Cytopathology and assessment of risk of malignancy with diagnostic accuracy

Context

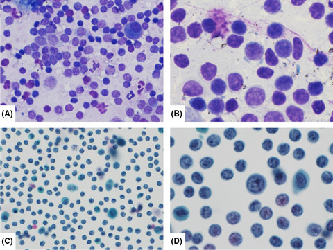
The International System for Reporting Serous Fluid Cytopathology (ISRSFC) standardises the reporting of serous effusion cytology under five categories: Non-Diagnostic (ND), Negative for Malignancy (NFM), Atypia of Undetermined Significance (AUS), Suspicious for Malignancy (SFM), and Malignant (M). Very few studies have been conducted so far to confirm the risk of malignancy of the different categories.

Aims

The main objectives of our study were to classify serous effusions according to the ISRSFC categories and assess their risk of malignancy (ROM) and performance parameters.

Materials and Methods

All serous effusion samples received from January 2019 to December 2020 were reclassified according to the ISRSFC. Using histopathological diagnosis as the gold standard, ROM and performance parameters were calculated.

Results

A total of 831 pleural effusion samples were reclassified as follows: ND, 3 (0.4%); NFM, 635 (76.4%); AUS, 65 (7.8%); SFM, 60 (7.2%); and M, 68 (8.2%). For 457 peritoneal effusion samples, the reclassifications were ND, 5 (1.1%); NFM, 368 (80.5%); AUS, 19 (4.2%); SFM, 17 (3.7%); and M, 48 (10.5%). All 12 (100%) pericardial effusions belonged to the NFM category. The ROM for the ND, NFM, AUS, SRM, and M categories was 0%, 2.1%, 33.3%, 94.1%, 100%, respectively, in pleural effusions, and 50%, 4.8%, 22.2%, 83.3%, 100%, respectively, in peritoneal effusions. The ROM was 0% for NFM in pericardial effusions.

Conclusion

The ISRSFC is an excellent system for accurately classifying serous effusions with greater reproducibility of reports and better communication between pathologist and clinician.

Comments (0)

No login
gif