Arrythmia-Mediated Valvular Heart Disease

Chugh S.S. Havmoeller R. Narayanan K. et al.

Worldwide epidemiology of atrial fibrillation: A global burden of disease 2010 study.

Circulation. 129: 837-847Go A.S. Hylek E.M. Phillips K.A. et al.

Prevalence of Diagnosed Atrial Fibrillation in Adults.

JAMA. 285: 2370Benjamin E.J. Muntner P. Alonso A. et al.

Heart Disease and Stroke Statistics-2019 Update: A Report From the American Heart Association.

Circulation. 139https://doi.org/10.1161/CIR.0000000000000659Colilla S. Crow A. Petkun W. et al.

Estimates of current and future incidence and prevalence of atrial fibrillation in the U.S. adult population.

Am J Cardiol. 112: 1142-1147Kornej J. Börschel C.S. Benjamin E.J. et al.

Epidemiology of Atrial Fibrillation in the 21st Century Novel Methods and New Insights.

Circ Res. 127: 4-20Deferm S. Bertrand P.B. Verbrugge F.H. et al.

Atrial Functional Mitral Regurgitation.

J Am Coll Cardiol. 73: 2465-2476Zoghbi W.A. Levine R.A. Flachskampf F. et al.

Atrial Functional Mitral Regurgitation.

JACC Cardiovasc Imaging. 15: 1870-1882Mesi O. Gad M.M. Crane A.D. et al.

Severe Atrial Functional Mitral Regurgitation: Clinical and Echocardiographic Characteristics, Management and Outcomes.

JACC Cardiovasc Imaging. 14: 797-808Dziadzko V. Dziadzko M. Medina-Inojosa J.R. et al.

Causes and mechanisms of isolated mitral regurgitation in the community: Clinical context and outcome.

Eur Heart J. 40: 2194-2202Asgar A.W. Mack M.J. Stone G.W.

Secondary mitral regurgitation in heart failure: Pathophysiology, prognosis, and therapeutic considerations.

J Am Coll Cardiol. 65: 1231-1248Bertrand P.B. Schwammenthal E. Levine R.A. et al.

Exercise Dynamics in Secondary Mitral Regurgitation: Pathophysiology and Therapeutic Implications.

Circulation. 135: 297-314Deferm S. Dauw J. Vandervoort P.M. et al.

Atrial Functional Mitral and Tricuspid Regurgitation.

Curr Treat Options Cardiovasc Med. 22: 30Gertz Z.M. Raina A. Saghy L. et al.

Evidence of Atrial Functional Mitral Regurgitation Due to Atrial Fibrillation.

J Am Coll Cardiol. 58: 1474-1481Yap J. Bolling S.F. Rogers J.H.

Contemporary Review in Interventional Cardiology: Mitral Annuloplasty in Secondary Mitral Regurgitation.

Struct Heart. : 1-16https://doi.org/10.1080/24748706.2021.1895457Otsuji Y. Kumanohoso T. Yoshifuku S. et al.

Isolated annular dilation does not usually cause important functional mitral regurgitation: Comparison between patients with lone atrial fibrillation and those with idiopathic or ischemic cardiomyopathy.

J Am Coll Cardiol. 39: 1651-1656Zhou X. Otsuji Y. Yoshifuku S. et al.

Impact of Atrial Fibrillation on Tricuspid and Mitral Annular Dilatation and Valvular Regurgitation.

Circ J. 66: 913-916Kagiyama N. Hayashida A. Toki M. et al.

Insufficient Leaflet Remodeling in Patients with Atrial Fibrillation: Association with the Severity of Mitral Regurgitation.

Circ Cardiovasc Imaging. 10: e005451Kagiyama N. Mondillo S. Yoshida K. et al.

Subtypes of Atrial Functional Mitral Regurgitation: Imaging Insights Into Their Mechanisms and Therapeutic Implications.

JACC Cardiovasc Imaging. 13: 820-835Kim D.H. Heo R. Handschumacher M.D. et al.

Mitral Valve Adaptation to Isolated Annular Dilation. Insights Into the Mechanism of Atrial Functional Mitral Regurgitation.

JACC Cardiovasc Imaging. : 1-13https://doi.org/10.1016/j.jcmg.2017.09.013Dal-Bianco J.P. Aikawa E. Bischoff J. et al.

Myocardial infarction alters adaptation of the tethered mitral valve.

J Am Coll Cardiol. 67: 275-287Grande-Allen K.J. Barber J.E. Klatka K.M. et al.

Mitral valve stiffening in end-stage heart failure: Evidence of an organic contribution to functional mitral regurgitation.

J Thorac Cardiovasc Surg. 130: 783-790Vandemaele P. Linden K.V. Deferm S. et al.

Alterations in Human Mitral Valve Mechanical Properties Secondary to Left Ventricular Remodeling : A Biaxial Mechanical Study.

Front Cardiovasc Med. 9: 1-16Bartko P.E. Dal-Bianco J.P. Guerrero J.L. et al.

Effect of Losartan on Mitral Valve Changes After Myocardial Infarction.

J Am Coll Cardiol. 70: 1232-1244Iborra-Egea O. Gálvez-Montón C. Roura S. et al.

Mechanisms of action of sacubitril/valsartan on cardiac remodeling: a systems biology approach.

Npj Syst Biol Appl. 3: 1-8Tang Z. Fan Y.T. Wang Y. et al.

Mitral Annular and Left Ventricular Dynamics in Atrial Functional Mitral Regurgitation: A Three-Dimensional and Speckle-Tracking Echocardiographic Study.

J Am Soc Echocardiogr. 32: 503-513Deferm S. Bertrand P.B. Verhaert D. et al.

Mitral Annular Dynamics in AF Versus Sinus Rhythm.

JACC Cardiovasc Imaging. 15: 1-13

Mechanistic insights into atrial functional mitral regurgitation: Far more complicated than just left atrial remodeling.

Echocardiography. 36: 164-169Bisbal F. Baranchuk A. Braunwald E. et al.

Atrial Failure as a Clinical Entity: JACC Review Topic of the Week.

J Am Coll Cardiol. 75: 222-232Sanchis L. Gabrielli L. Andrea R. et al.

Left atrial dysfunction relates to symptom onset in patients with heart failure and preserved left ventricular ejection fraction.

Eur Heart J Cardiovasc Imaging. 16: 62-67Reddy Y.N.V. Obokata M. Verbrugge F.H. et al.

Atrial Dysfunction in Patients With Heart Failure With Preserved Ejection Fraction and Atrial Fibrillation.

J Am Coll Cardiol. 76: 1051-1064Reddy Y.N.V. Obokata M. Gersh B.J. et al.

High Prevalence of Occult Heart Failure With Preserved Ejection Fraction Among Patients With Atrial Fibrillation and Dyspnea.

Circulation. 137: 534-535

Therapeutic Targeting of Left Atrial Myopathy in Atrial Fibrillation and Heart Failure with Preserved Ejection Fraction.

JAMA Cardiol. 5: 497-499Packer M. Lam C.S.P. Lund L.H. et al.

Interdependence of Atrial Fibrillation and Heart Failure with a Preserved Ejection Fraction Reflects a Common Underlying Atrial and Ventricular Myopathy.

Circulation. : 4-6https://doi.org/10.1161/CIRCULATIONAHA.119.042996Tamargo M. Obokata M. Reddy Y.N.V. et al.

Functional mitral regurgitation and left atrial myopathy in heart failure with preserved ejection fraction.

Eur J Heart Fail. 22: 489-498Alkhouli M. Hahn R.T. Petronio A.S.

Transcatheter Edge-to-Edge Repair for Atrial Functional Mitral Regurgitation.

JACC Cardiovasc Interv. 15: 1741-1747Simard T. Vemulapalli S. Jung R.G. et al.

Transcatheter Edge-to-Edge Repair in Patients with Severe Mitral Regurgitation and Cardiogenic Shock: TVT Registry Analysis.

J Am Coll Cardiol. ()https://doi.org/10.1016/j.jacc.2022.09.006Chioncel O. Lainscak M. Seferovic P.M. et al.

Epidemiology and one-year outcomes in patients with chronic heart failure and preserved, mid-range and reduced ejection fraction: an analysis of the ESC Heart Failure Long-Term Registry Methods and results.

Eur J Heart Fail. 19: 1574-1585Kajimoto K. Sato N. Takano T.

Functional mitral regurgitation at discharge and outcomes in patients hospitalized for acute decompensated heart failure with a preserved or reduced ejection fraction.

Eur J Heart Fail. 18: 1051-1059Lancellotti P. Tribouilloy C. Hagendorff A. et al.

Recommendations for the echocardiographic assessment of native valvular regurgitation: An executive summary from the European Association of Cardiovascular Imaging.

Eur Heart J Cardiovasc Imaging. 14: 611-644Coisne A. Pontana F. Aghezzaf S. et al.

Utility of Three-Dimensional Transesophageal Echocardiography for Mitral Annular Sizing in Transcatheter Mitral Valve Replacement Procedures: A Cardiac Computed Tomographic Comparative Study.

J Am Soc Echocardiogr. 33: 1245-1252.e2

Pathophysiology, Echocardiographic Diagnosis, and Treatment of Atrial Functional Mitral Regurgitation.

J Am Coll Cardiol. 80: 17Gertz Z.M. Herrmann H.C. Lim D.S. et al.

Implications of Atrial Fibrillation on the Mechanisms of Mitral Regurgitation and Response to MitraClip in the COAPT Trial.

Circ Cardiovasc Interv. 14: 424-432Zoghbi W.A. Adams D. Bonow R.O. et al.

Recommendations for Noninvasive Evaluation of Native Valvular Regurgitation: A Report from the American Society of Echocardiography Developed in Collaboration with the Society for Cardiovascular Magnetic Resonance.

J Am Soc Echocardiogr. 30: 303-371Hung J. Otsuji Y. Handschumacher M.D. et al.

Mechanism of dynamic regurgitant orifice area variation in functional mitral regurgitation.

J Am Coll Cardiol. 33: 538-545Marsan N.A. Westenberg J.J.M. Ypenburg C. et al.

Quantification of Functional Mitral Regurgitation by Real-Time 3D Echocardiography. Comparison With 3D Velocity-Encoded Cardiac Magnetic Resonance.

JACC Cardiovasc Imaging. 2: 1245-1252Zeng X. Levine R.A. Hua L. et al.

Diagnostic Value of Vena Contracta Area in the Quantification of Mitral Regurgitation Severity by Color Doppler 3D Echocardiography.

Circ Cardiovasc Imaging. 4: 506-513Kusunose K. Yamada H. Nishio S. et al.

Index-beat assessment of left ventricular systolic and diastolic function during atrial fibrillation using myocardial strain and strain rate.

J Am Soc Echocardiogr. 25: 953-959Bartko P.E. Arfsten H. Heitzinger G. et al.

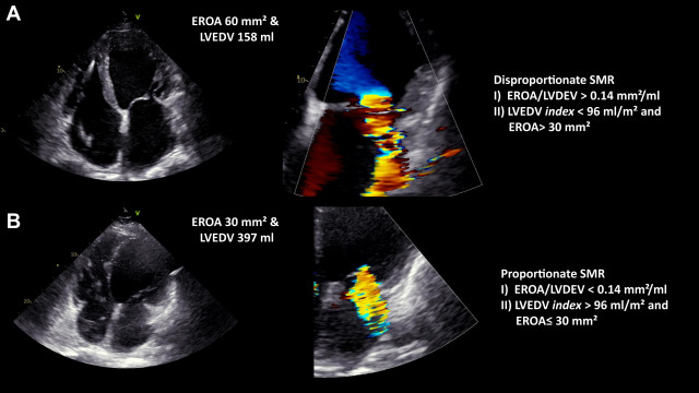
A Unifying Concept for the Quantitative Assessment of Secondary Mitral Regurgitation.

J Am Coll Cardiol. 73: 2506-2517Grayburn P.A. Sannino A. Packer M.

Proportionate and Disproportionate Functional Mitral Regurgitation: A New Conceptual Framework That Reconciles the Results of the MITRA-FR and COAPT Trials.

JACC Cardiovasc Imaging. 12: 353-362

New Evidence Supporting a Novel Conceptual Framework for Distinguishing Proportionate and Disproportionate Functional Mitral Regurgitation.

JAMA Cardiol. 5: 469-475Mak G.J. Blanke P. Ong K. et al.

Three-Dimensional Echocardiography Compared With Computed Tomography to Determine Mitral Annulus Size Before Transcatheter Mitral Valve Implantation.

Circ Cardiovasc Imaging. 9: e004176Cawley P.J. Hamilton-Craig C. Owens D.S. et al.

Prospective Comparison of Valve Regurgitation Quantitation by Cardiac Magnetic Resonance Imaging and Transthoracic Echocardiography.

Circ Cardiovasc Imaging. 6: 48-57

Added Value of Cardiovascular Magnetic Resonance in Primary Mitral Regurgitation.

Circulation. 137: 1361-1363Marrouche N.F. Wilber D. Hindricks G. et al.

Association of Atrial Tissue Fibrosis Identified by Delayed Enhancement MRI and Atrial Fibrillation Catheter Ablation: The DECAAF Study.

JAMA. 311: 498-506Chelu M.G. King J.B. Kholmovski E.G. et al.

Atrial Fibrosis by Late Gadolinium Enhancement Magnetic Resonance Imaging and Catheter Ablation of Atrial Fibrillation: 5-Year Follow-Up Data.

J Am Heart Assoc. 7: e006313Otto C.M. Rick Nishimura C.C.A. Robert Bonow C.C.O. et al.

2020 ACC/AHA Guideline for the Management of Patients With Valvular Heart Disease.

Circulation. 143https://doi.org/10.1161/CIR.0000000000000923Vahanian A. Beyersdorf F. Praz F. et al.

2021 ESC/EACTS Guidelines for the management of valvular heart disease.

Eur Heart J. : 1-72https://doi.org/10.1093/eurheartj/ehab395Reddy S.T. Belden W. Doyle M. et al.

Mitral regurgitation recovery and atrial reverse remodeling following pulmonary vein isolation procedure in patients with atrial fibrillation: A clinical observation proof-of-concept cardiac MRI study.

J Interv Card Electrophysiol. 37: 307-315Dell’Era G. Rondano E. Franchi E. et al.

Atrial asynchrony and function before and after electrical cardioversion for persistent atrial fibrillation.

Eur J Echocardiogr. 11: 577-583Kirchhof P. Camm A.J. Goette A. et al.

Early Rhythm-Control Therapy in Patients with Atrial Fibrillation.

N Engl J Med. : 1-11https://doi.org/10.1056/NEJMoa2019422Masuda M. Sekiya K. Asai M. et al.

Influence of catheter ablation for atrial fibrillation on atrial and ventricular functional mitral regurgitation.

ESC Heart Fail. 9: 1901-1913Lam C.S.P. Voors A.A. de Boer R.A. et al.

Heart failure with preserved ejection fraction: from mechanisms to therapies.

Eur Heart J. : 1-13https://doi.org/10.1093/eurheartj/ehy301Solomon S.D. Vaduganathan M. Claggett B L. et al.

Sacubitril/Valsartan across the Spectrum of Ejection Fraction in Heart Failure.

Circulation. : 352-361https://doi.org/10.1161/CIRCULATIONAHA.119.044586Ducharme A. Swedberg K. Pfeffer M.A. et al.

Prevention of atrial fibrillation in patients with symptomatic chronic heart failure by candesartan in the Candesartan in Heart failure: Assessment of Reduction in Mortality and morbidity (CHARM) program.

Am Heart J. 151: 985-991

Angiotensin Receptor Neprilysin Inhibitor for Functional Mitral Regurgitation : The PRIME Study.

Circulation. https://doi.org/10.1161/CIRCULATIONAHA.118.037077Januzzi J.L. Omar A.M.S. Liu Y. et al.

Association Between Sacubitril/Valsartan Initiation and Mitral Regurgitation Severity in Heart Failure With Reduced Ejection Fraction: The PROVE-HF Study.

Circulation. 122: 61693Solomon S.D. McMurray J.J.V. Anand I.S. et al.

Angiotensin–neprilysin inhibition in heart failure with preserved ejection fraction.

N Engl J Med. 381: 1609-1620John J.V. McMurray M.D. Milton Packer M.D. et al.

Angiotensin–Neprilysin Inhibition versus Enalapril in Heart Failure.

N Engl J Med. https://doi.org/10.1056/NEJMoa1409077Singh J.S.S. Burrell L.M. Cherif M. et al.

Sacubitril/valsartan: beyond natriuretic peptides.

Heart. 103: 1569-1577Anker S.D. Butler J. Filippatos G. et al.

Empagliflozin in Heart Failure with a Preserved Ejection Fraction.

N Engl J Med. 385: 1451-1461Solomon S.D. McMurray J.J.V. Claggett B. et al.

Dapagliflozin in Heart Failure with Mildly Reduced or Preserved Ejection Fraction.

N Engl J Med. 387: 1089-1098Zelniker T.A. Bonaca M.P. Furtado R.H.M. et al.

Effect of dapagliflozin on atrial fibrillation in patients with type 2 diabetes mellitus: Insights from the DECLARE-TIMI 58 Trial.

Circulation. : 1227-1234Bax J.J. Braun J. Somer S.T. et al.

Restrictive annuloplasty and coronary revascularization in ischemic mitral regurgitation results in reverse left ventricular remodeling.

Circulation. 110: 103-109Bolling S.F. Pagani F.D. Deeb G.M. et al.

Intermediate-term outcome of mitral reconstruction in cardiomyopathy.

J Thorac Cardiovasc Surg. 115: 381-388Hung J. Papakostas L. Tahta S.A. et al.

Mechanism of recurrent ischemic mitral regurgitation after annuloplasty: Continued LV remodeling as a moving target.

Circulation. 110: 85-91Acker M.A. Parides M.K. Perrault L.P. et al.

Mitral-Valve Repair versus Replacement for Severe Ischemic Mitral Regurgitation.

N Engl J Med. 370: 23-32Goldstein D. Moskowitz A.J. Gelijns A.C. et al.

Two-Year Outcomes of Surgical Treatment of Severe Ischemic Mitral Regurgitation.

N Engl J Med. 374: 344-353Bertrand P.B. Verbrugge F.H. Verhaert D. et al.

Mitral valve area during exercise after restrictive mitral valve annuloplasty: Importance of diastolic anterior leaflet tethering.

J Am Coll Cardiol. 65: 452-461Kubota K. Otsuji Y. Ueno T. et al.

Functional mitral stenosis after surgical annuloplasty for ischemic mitral regurgitation: Importance of subvalvular tethering in the mechanism and dynamic deterioration during exertion.

J Thorac Cardiovasc Surg. 140: 617-623Wu A.H. Aaronson K.D. Bolling S.F. et al.

Impact of mitral valve annuloplasty on mortality risk in patients with mitral regurgitation and left ventricular systolic dysfunction.

J Am Coll Cardiol. 45: 381-387Smith P.K. Puskas J.D. Ascheim D.D. et al.

Surgical treatment of ischemic mitral valve regurgitation.

NEJM. 11: 228-231Michler R.E. Smith P.K. Parides M.K. et al.

Two-Year Outcomes of Surgical Treatment of Moderate Ischemic Mitral Regurgitation.

N Engl J Med. 374: 1932-1941Deferm S. Bertrand P.B. Verhaert D. et al.

Outcome and durability of mitral valve annuloplasty in atrial secondary mitral regurgitation.

Heart. 107: 1503-1509Hirji S.A. Cote C.L. Javadikasgari H. et al.

Atrial functional versus ventricular functional mitral regurgitation: Prognostic implications.

J Thorac Cardiovasc Surg. https://doi.org/10.1016/j.jtcvs.2020.12.098Takahashi Y. Shibata T. Hattori K. et al.

Extended posterior leaflet extension for mitral regurgitation in giant left atrium.

J Heart Valve Dis. 23: 88-90Yoon S.H. Makar M. Kar S. et al.

Outcomes After Transcatheter Edge-to-Edge Mitral Valve Repair According to Mitral Regurgitation Etiology and Cardiac Remodeling.

JACC Cardiovasc Interv. 15: 1711-1722Sodhi N. Asch F.M. Ruf T. et al.

Clinical Outcomes With Transcatheter Edge-to-Edge Repair in Atrial Functional MR From the EXPAND Study.

JACC Cardiovasc Interv. 15: 1723-1730Tanaka T. Sugiura A. Öztürk C. et al.

Transcatheter Edge-to-Edge Repair for Atrial Secondary Mitral Regurgitation.

JACC Cardiovasc Interv. 15: 1731-1740Doldi P. Stolz L. Orban M. et al.

Transcatheter Mitral Valve Repair in Patients With Atrial Functional Mitral Regurgitation.

JACC Cardiovasc Imaging. 15: 1843-1851Schmidt F.P. Von Bardeleben R.S. Nikolai P. et al.

Immediate effect of the MitraClip® procedure on mitral ring geometry in primary and secondary mitral regurgitation.

Eur Heart J Cardiovasc Imaging. 14: 851-857Kreidel F. Zaid S. Tamm A.R. et al.

Impact of Mitral Annular Dilation on Edge-to-Edge Therapy With MitraClip-XTR.

Circ Cardiovasc Interv. 14: e010447

Etiology and Outcomes of Isolated Tricuspid Regurgitation.

JACC Cardiovasc Imaging. 15: 745-746Prihadi E.A. Delgado V. Leon M.B. et al.

Morphologic Types of Tricuspid Regurgitation: Characteristics and Prognostic Implications.

JACC Cardiovasc Imaging. 12: 491-499Nemoto N. Lesser J.R. Pedersen W.R. et al.

Pathogenic structural heart changes in early tricuspid regurgitation.

J Thorac Cardiovasc Surg C. 150: 323https://doi.org/10.1016/j.jtcvs.2015.05.009Utsunomiya H. Itabashi Y. Mihara H. et al.

Functional Tricuspid Regurgitation Caused by Chronic Atrial Fibrillation: A Real-Time 3-Dimensional Transesophageal Echocardiography Study.

Circ Cardiovasc Imaging. 10: e004897Utsunomiya H. Harada Y. Susawa H. et al.

Tricuspid valve geometry and right heart remodelling: Insights into themechanismof atrial functional tricuspid regurgitation.

Eur Heart J Cardiovasc Imaging. 21: 1068-1078Yamasaki N. Kondo F. Kubo T. et al.

Severe Tricuspid Regurgitation in the Aged: Atrial Remodeling Associated With Long-Standing Atrial Fibrillation.

J Cardiol. 48: 315-323Muraru D. Caravita S. Guta A.C.

Functional Tricuspid Regurgitation and Atrial Fibrillation : Which Comes First , the Chicken or the Egg.

Cardiovasc Imaging Case Rep. https://doi.org/10.1016/j.case.2020.04.011Topilsky Y. Maltais S. Medina Inojosa J. et al.

Burden of Tricuspid Regurgitation in Patients Diagnosed in the Community Setting.

JACC Cardiovasc Imaging. 12: 433-442Fender E.A. Zack C.J. Nishimura R.A.

Isolated tricuspid regurgitation: Outcomes and therapeutic interventions.

Heart. 104: 798-806Topilsky Y. Nkomo V.T. Vatury O. et al.

Clinical outcome of isolated tricuspid regurgitation.

JACC Cardiovasc Imaging. 7: 1185-1194Wang T.K.M. Akyuz K. Mentias A. et al.

Contemporary Etiologies, Outcomes, and Novel Risk Score for Isolated Tricuspid Regurgitation.

JACC Cardiovasc Imaging. 15: 731-744Nath J. Foster E. Heidenreich P.A.

Impact of tricuspid regurgitation on long-term survival.

J Am Coll Cardiol. 43: 405-409Prihadi E.A. van der Bijl P. Gursoy E. et al.

Development of significant tricuspid regurgitation over time and prognostic implications: new insights into natural history.

Eur Heart J. 39: 3574-3581Patlolla S.H. Schaff H.V. Nishimura R.A. et al.

Incidence and Burden of Tricuspid Regurgitation in Patients With Atrial Fibrillation.

J Am Coll Cardiol. 80: 2289-2298Topilsky Y. Khanna A. Le Toumeau T. et al.

Clinical context and mechanism of functional tricuspid regurgitation in patients with and without pulmonary hypertension.

Circ Cardiovasc Imaging. 5: 314-323Muraru D. Guta A.C. Ochoa-Jimenez R.C. et al.

Functional Regurgitation of Atrioventricular Valves and Atrial Fibrillation: An Elusive Pathophysiological Link Deserving Further Attention.

J Am Soc Echocardiogr. 33: 42-53

Atrial functional tricuspid regurgitation: An underappreciated cause of secondary tricuspid regurgitation.

Echocardiography. 36: 954-957Hahn R.T. Thomas J.D. Khalique O.K. et al.

Imaging Assessment of Tricuspid Regurgitation Severity.

JACC Cardiovasc Imaging. 12: 469-490Badano L.P. Hahn R. Zanella H. et al.

Morphological Assessment of the Tricuspid Apparatus and Grading Regurgitation Severity in Patients With Functional Tricuspid Regurgitation: Thinking Outside the Box.

JACC Cardiovasc Imaging. 12: 652-664

The need for a new tricuspid regurgitation grading scheme.

Eur Heart J Cardiovasc Imaging. 18: 1342-1343Hahn R.T. Weckbach L.T. Noack T. et al.

Proposal for a Standard Echocardiographic Tricuspid Valve Nomenclature.

JACC Cardiovasc Imaging. 14: 1299-1305Guazzi M. Dixon D. Labate V. et al.

RV Contractile Function and its Coupling to Pulmonary Circulation in Heart Failure With Preserved Ejection Fraction: Stratification of Clinical Phenotypes and Outcomes.

JACC Cardiovasc Imaging. 10: 1211-1221Lorenz C.H. Walker E.S. Morgan V.L. et al.

Normal human right and left ventricular mass, systolic function, and gender differences by cine magnetic resonance imaging.

J Cardiovasc Magn Reson. 1: 7-21Sugeng L. Mor-Avi V. Weinert L. et al.

Multimodality Comparison of Quantitative Volumetric Analysis of the Right Ventricle.

JACC Cardiovasc Imaging. 3: 10-18Asmarats L. Puri R. Latib A. et al.

Transcatheter Tricuspid Valve Interventions: Landscape, Challenges, and Future Directions.

J Am Coll Cardiol. 71: 2935-2956Agricola E. Asmarats L. Maisano F. et al.

Imaging for Tricuspid Valve Repair and Replacement.

JACC Cardiovasc Imaging. 14: 61-111Soulat-Dufour L. Lang S. Addetia K. et al.

Restoring Sinus Rhythm Reverses Cardiac Remodeling and Reduces Valvular Regurgitation in Patients With Atrial Fibrillation.

J Am Coll Cardiol. 79: 951-961

Comments (0)

No login
gif