Updates in endoscopic management of ampullary and duodenal adenomas

Purpose of review 

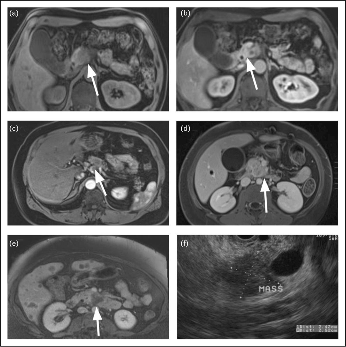
Adenomas are the most common benign lesions of the gastrointestinal tract. The current review aims to summarize recent literature regarding risk factors, natural history, diagnostic and staging technique, and management strategies for ampullary and nonampullary duodenal adenomas.

Recent findings 

Recent studies identified several possible risks factors for duodenal adenomas (e.g., cholecystectomy, proton pump inhibitor use), although these associations require corroboration. Chromoendoscopy and endocystoscopy may offer accuracy comparable to biopsies in expert hands. Recent publications underscore the reduction in morbidity with endoscopic resection for lesions without signs of malignancy with submucosal invasion. Submucosal injection did not improve safety of endoscopic ampullectomy.

Summary 

Surveillance may be a reasonable strategy for sub-centimeter ampullary adenomas occurring in familial adenomatous polyposis, as they carry a relatively low risk of malignancy. Endoscopic resection is the preferred strategy over surgery in patients without lesions suggestive of invasive malignancy. For nonampullary duodenal adenomas, several endoscopic resection techniques are available, each with their unique advantages and trade-offs. In patients who are not operative candidates but have intraductal extension, endoscopic ablation is an emerging option.

Comments (0)

No login
gif