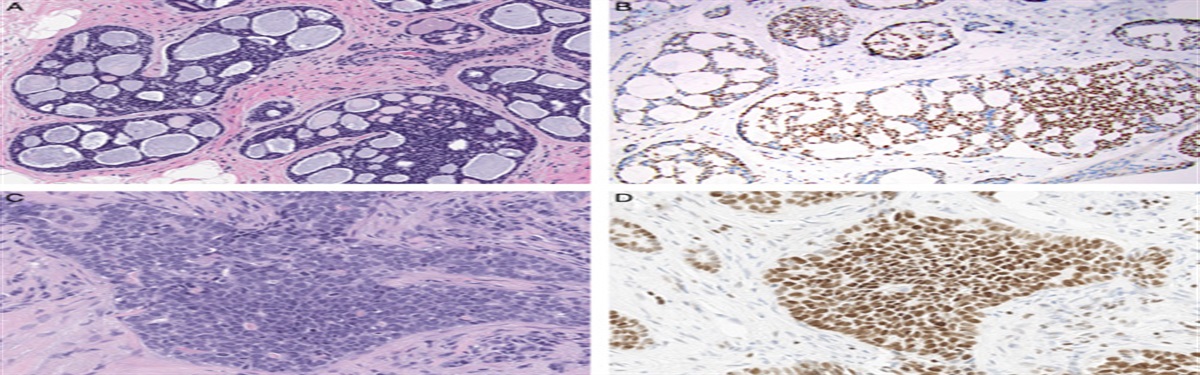
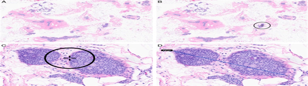
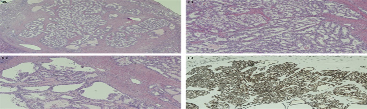
Future Practices of Breast Pathology Using Digital and Computational Pathology

Department of Pathology and Laboratory Medicine, Memorial Sloan Kettering Cancer Center, New York, NY

M.G.H. is a consultant for PaigeAI, VolastraTx, and advisor for PathPresenter. E.B. has no funding or conflicts of interest to disclose.

Reprints: Matthew G. Hanna, MD (e-mail: [email protected]) and Edi Brogi, MD, PhD (e-mail: [email protected]) Department of Pathology and Laboratory Medicine, Memorial Sloan Kettering Cancer Center, 1275 York Avenue, New York, NY 10065.

All figures can be viewed online in color at www.anatomicpathology.com.

Comments (0)

No login
gif