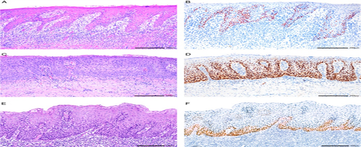
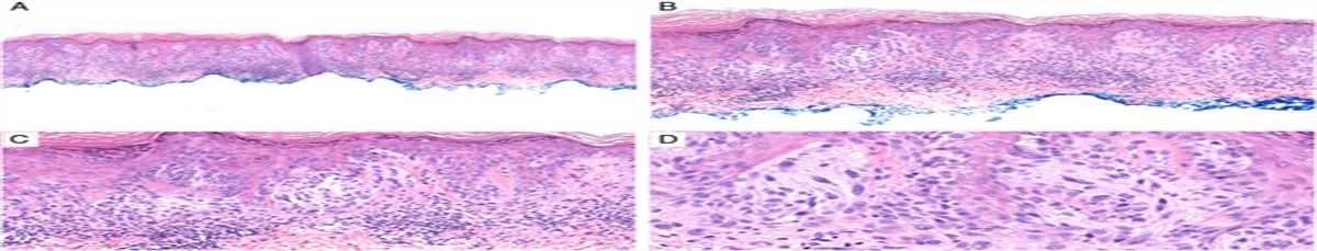
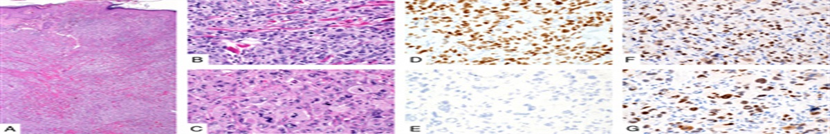
IRF8 in Conjunction With CD123 and CD20 to Distinguish Lupus Erythematosus Panniculitis From Subcutaneous Panniculitis-like T-Cell Lymphoma

*Department of Pathology, University of Montreal Hospital Center, University of Montreal Faculty of Medicine, Montreal, QC, Canada

Departments of †Dermatology

‡Pathology, Yale New Haven Hospital, Yale School of Medicine, New Haven, CT

Conflicts of Interest and Source of Funding: M.L.X. discloses consultancy for Seattle Genetics, Pure Marrow, and Blueprint Medicines that is unrelated to this study. For the remaining authors none were declared.

Correspondence: Mina L. Xu, MD, Brady Memorial Laboratory, 310 Cedar Street, Ste BML 116C, New Haven, CT 06510 (e-mail: [email protected]).

Comments (0)

No login
gif